Аппарат цифровой радиографии SKR4000
Вариант исполнения P-41
- НОВИНКА
- Размер пикселя 150 мкм
- Сцинтиллятор CsI (Йодид цезия)
- ImagePilot: Всё в одном
 Регистрация + Получение снимка + Просмотр + Измерения + miniPACS
- Автоматическое определение экспозиции
- Внутренняя точка доступа
- Внутреннее хранилище AeroStorage
Функциональность
ФункциональностьАппарат цифровой радиографии SKR4000
- 
														Автоматическое определение экспозиции и встроенная точка доступа обеспечивает полностью беспроводной рабочий процесс 
- 
														Функция AeroStorage позволяет хранить до 200 изображений во встроенной памяти детектора 
- 
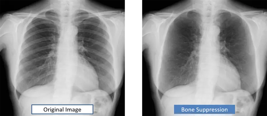
														Функция подавления костей: Эта функция обеспечивает изображение, на котором, например, ключица и рёбра ослаблены. Это упрощает диагностику изображений грудной клетки 
- 
														Совместимость с DICOM 3.0 
- 
														ImagePilot: Всё в одном Простая регистрация пациента, быстрый просмотр и описание, множество инструментов для измерений и обработки снимков, мини-PACS для хранения данных, различные опции вывода и печати 
- 
														Опция для Ветеринарии 
Преимущества
ПреимуществаКлючевые преимущества AeroDR P-41
Если вы планируете купить систему компьютерной рентгенографии CR, почему бы не подумать о переходе на цифровую рентгенографию DR? Konica Minolta представляет совершенно новую экономичную альтернативу: AeroDR NS формата 35 х 43 см. Плоскопанельный детектор можно использовать в сочетании с рентгеновским аппаратом, в том числе мобильным, любого производителя. Рабочая станция ImagePilot предоставляет вам регистрацию +получение снимка + просмотр + измерения + miniPACS для повседневной работы: настоящее универсальное решение!
-    Встроенная точка доступа 
 
-    AeroSync - Автоматическое определение экспозиции 
 
-    Внутреннее хранилище AeroStorage 
 
 
 
 -    Рабочая станция ImagePilot 
 
-    Предварительный просмотр через 4 секунды 
 
-    Размер пикселя 150 мкм 
 
Спецификация и загрузка
Спецификация и загрузкаСпецификации
AeroDR SKR4000 Спецификация
 
| Программное обеспечение консоли | ImagePilot | 
|---|---|
| Способ обнаружения | Непрямое преобразование Сцинтиллятор: CsI (Йодид цезия) | 
| DQE | 40% (1 пара линий/мм) | 
| Размер пикселя | 150 мкм | 
| Размер области изображения | 2304 x 2800 пикселей (345.6 x 420.0 мм) | 
| Синхронизация с рентгеном | Автоматическое определение экспозиции (AeroSync) | 
| Время цикла | Предпросмотр: 4 сек / получение снимка: 10 сек | 
| Встроенная точка доступа | Наличие (в сочетании с ноутбуком с ПО ImagePilot) | 
| Внутренняя память | Наличие (до 200 изображений) | 
| Обмен данными | Беспроводная локальная сеть (IEEE 802.11a/n/ac совместимая) | 
| Выдерживаемая нагрузка | Фронтальная нагрузка: 150 кг Точечная нагрузка: 100 кг при ø 40 мм | 
| Уровень влагозащиты | IPX1, включая батарею | 
| Тип аккумулятора | Литий-ионный аккумулятор (съёмный) | 
| Экспозиции при полном заряде | 212 зображений / 5.9 ч | 
| Время работы в режиме ожидания | 7.6 ч | 
| Совместимая частота решётки | 40 пар линий/см | 
| Наружные габариты (ШxГxВ) | 384 мм x 460 мм x 15 мм | 
| Масса | 3.6 кг (включая батарею) | 
 
													 
													 
													 
													 
													 
													 
  
  
  
  
 